Resultados reales, sonrisas auténticas
En Kaident transformamos sonrisas cada día.
Aquí te mostramos algunos de nuestros casos clínicos: tratamientos personalizados,
con resultados visibles y cuidados al detalle.
Porque cada sonrisa cuenta... y la tuya puede ser la próxima.
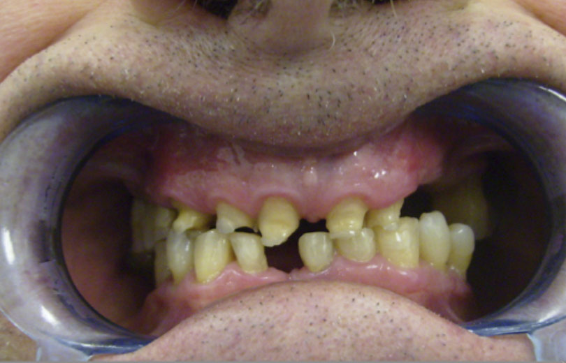
REHABILITACION ORAL
Paciente varón que acude a consulta:
Presenta gran desgaste en todos los dientes (bruxista), rehabilitamos con coronas de metal-porcelana superiores.




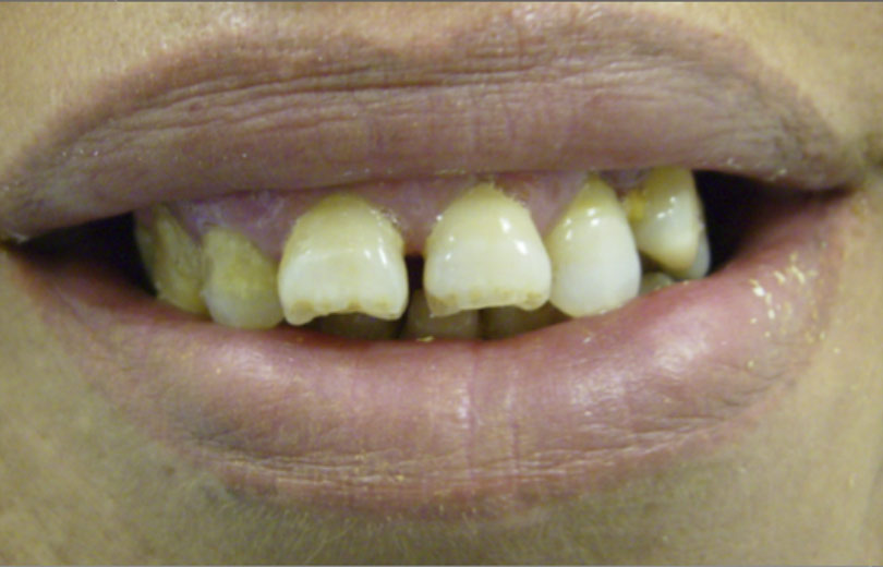
REHABILITACION ORAL
Paciente que acude a consulta para cambiar su sonrisa:
Rehabilitamos concoronas de zirconio superiores y carillas de composite inferiores
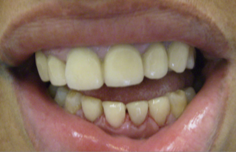
REHABILITACION ORAL
Paciente varón que acude a consulta:
Presenta gran desgaste en todos los dientes (bruxista), rehabilitamos con coronas de metal-porcelana superiores.


